Viability & Dating Scan Near Mansfield
Visit us in Sheffield: Unit 12 New Era Square, Bramall Ln, Highfield, Sheffield S2 4RB
A Supportive Early Scan Experience Near Mansfield
The early weeks of pregnancy can feel both exciting and uncertain, especially when you’re waiting for confirmation that everything is progressing as expected. Many people choose an early pregnancy scan near Mansfield to gain reassurance in a calm and comfortable setting, away from long waits or busy environments. At our clinic, the focus is on helping you feel at ease, with time to ask questions and understand what you’re seeing during your appointment.
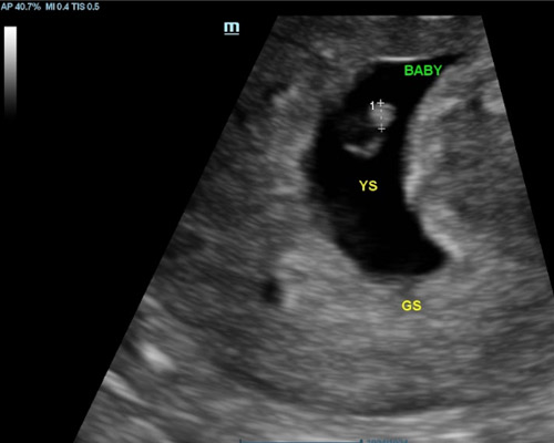
A viability scan is usually performed between 6 and 12 weeks to assess early development. It can help confirm the pregnancy, estimate dates, and check for key signs such as the gestational sac, fetal pole, and a heartbeat where visible. This scan is often chosen by those who want early clarity, have concerns, or simply wish for reassurance before their first routine appointment.
Dating & Viability Scan Near Mansfield(6–12 Weeks) - £65
Our scan option near Mansfield is available between 6 -12 weeks and is designed to give a clearer picture of early development. It is particularly useful if your cycle is irregular or if you are unsure of your dates.
Book Your ScanWhat’s Included in Our Scan
- A £30 deposit is required at the time of booking
- 15-minute appointment with our experienced sonographers
- Digital download of all scan images and video clips
- Includes 2 keepsake photo prints
- Estimation of your due date
- Visual confirmation of the fetal heartbeat
- Checking for single or multiple pregnancies
- A 2D ultrasound to confirm an intrauterine pregnancy
- A full bladder is required *
- Suitable for women between 6 and 12 weeks of pregnancy
- Please note: This service is available for women aged 18 and over.
Drink at least 1 Litre (2-4 pints) of non-fizzy fluid, ideally water, within 1hour before your appointment and avoid emptying your bladder until after the scan.
Sometimes it may be needed to perform a Transvaginal (Internal) scan for clear imaging in addition to abdominal scan, this involves inserting a thin probe into the vagina. It is safe and your consent will be obtained beforehand.
Why People Choose Our Early Scan Service Near Mansfield
Choosing where to go for an early scan can make a real difference to your experience. Our clinic near Mansfield aims to create a reassuring and comfortable environment where you feel informed and supported.
Families often choose our viability scan near Mansfield at Baby Bump because we offer experienced sonographers, clear imaging and a relaxed setting. Appointments are designed to give you time to understand what is being seen, without feeling rushed.
With convenient appointment availability and a focus on clear communication, our goal is to help you leave feeling more confident about your next steps.
Is This Scan Helpful for You?
This type of scan can be helpful for many individuals during the early weeks, particularly if you are looking for reassurance or clarity.
You may consider booking if you:
- Want confirmation that development is progressing
- Need help understanding early symptoms
- Are unsure about how far along you are
- Would like reassurance while waiting for routine appointments
- Prefer early visibility and peace of mind
For many, a pregnancy viability scan provides comfort and reassurance during a time that can feel uncertain.
Focus on Care, Safety and Comfort
Your safety and comfort are always prioritised. Ultrasound scanning is a well-established method that uses sound waves rather than radiation, making it safe and non-invasive.
All scans are carried out by trained professionals who follow recognised clinical standards. If it is too early to see everything clearly, you will be guided through the findings in a clear and supportive way, along with advice on whether a follow-up scan may be helpful.
Every step is designed to ensure you feel informed, respected and supported throughout your visit.
OUR TESTIMONIALS
Our Scans
Frequently Asked Questions
Most people book between 6 and 12 weeks. This timing allows the scan to provide clearer information, including the possibility of detecting a heartbeat.
Yes, you can arrange an appointment directly without needing a referral, making it easier to access reassurance when you need it.
Clinics located near Mansfield, such as Baby Bump, often provide a range of appointment times, including options that fit around work or personal commitments.
Yes, many individuals from nearby towns choose clinics close to Mansfield due to convenience and appointment availability.
The scan looks at early development, including location, measurements, and whether a heartbeat can be seen, depending on how far along you are.
If it is too early, the sonographer will explain what can be seen and may recommend a follow-up scan after a short interval to provide clearer results.
We are easily accessible for viability scans in Sheffield, just a 50-minute drive from Mansfield. Book your appointment at our Sheffield clinic: Unit 12, New Era Square, Bramall Lane, Highfield, Sheffield S2 4RB
